SMILE GALLERY

Dentures

John Kuser

Comparison photo showing a man's face and teeth before and after dental restoration, with the left side displaying discolored, decayed teeth and the right side showing a bright, healthy smile.

Smile on 3!

As a photographer, John Kuser has captured thousands of smiles from behind the camera, but never felt confident in his own smile, until now.

He wanted his smile to look very natural and realistic, and he couldn’t be happier with the outcome.

Healthy teeth don’t just transform smiles, they transform lives.

Watch John's Testimonial Video

Frenectomy and Bonding

Danielle B.

Side-by-side comparison showing a woman's bright smile in contrast with a close-up of her teeth before and after dental whitening. The 'before' image shows stained teeth, while the 'after' image shows noticeably whiter teeth.

"I've struggled with a gap between my two front teeth since I was a child. I can remember it being so large I could put a straw through it. This was something I was always self conscious of when it came to my smile. As soon as I could I ran right into braces. Unfortunately, even after having braces my gap returned as an adult. 

I then did braces for a 2nd time. I thought this would definitely correct the issue and that was not the case. My gap continued to open back up quite fast so I knew I needed to figure out another course of action. 

As an adult I didn't want the experience of having braces for a 3rd time. I went to see Dr. Tang at Shine Ortho who recommended I get a frenectomy then work to close my gaps. I had never had this suggested to me by any other dentist or orthodontist before but after being explained the "why" it made so much sense. 

I began working with Dr. Wurzel and Dr. Carpenter directly to get this procedure and work towards getting my gaps filled. The process was a breeze and I couldn't be happier with how things turned out. 

​I just turned 30 this year and I'm so thankful to finally have the smile I've always wanted! Dental Excellence makes all patients, including their employees feel like a million bucks when you're sitting in their chair. They make sure you're being heard, your concerns are being addressed and that you're leaving happy! I no longer have a reason to be self conscious of my smile and I can't wait to show it off!"

Full Mouth Makeover

Vincenza T.

Comparison of two women, one before and one after dental transformation. The woman on the left before has missing and crooked teeth; the woman on the right after has a bright, even smile. Close-up of their smiles showing the difference in dental appearance.

Vincenza was born without the ability for adult teeth to form to replace her baby teeth. As she got older, the size of her teeth appeared small, creating large gaps between teeth and making her self-conscious of her smile. Vincenza received full mouth reconstruction, including veneers, crowns, a bridge, and orthodontics. After her treatment was complete, she said her results were "life-changing".

Watch Vincenza's Testimonial Video

Veneers

Jerry E.

Comparison of a man's teeth before and after dental work, showing significant improvement in teeth alignment and appearance

"For the first part of my adult life, I would only smile with my lips together as not to show my discolored and decayed teeth. Dr. Carpenter said he could help me with my stained teeth and make me happy to smile. My new smile gives me more confidence. My friends and family noticed it right away and said how great my smile is now. They love my new smile and said I should have done it sooner. My advice is: Don't put it off! It's wonderful to smile!"  -Jerry E.

Learn About Veneers

KoR Teeth Whitening

Andrea S.

A photo comparison showing a woman's smile before and after dental work. The 'before' images display discolored, damaged teeth, while the 'after' images show her with white, well-aligned teeth.

"For years I struggled with tetracycline stained teeth. I tried every home remedy and over-the-counter whitening product that I could think of, yet nothing seemed to whiten my smile. That is until I went into Dental Excellence for my six-month cleaning and my dental hygienist suggested I try the KoR Deep Bleaching System. KoR deep bleaching, in my opinion is a miracle potion! Finally, I have beautifully white teeth!!"  -Andrea S.

See Andrea's Day-to-Day Results

Full Mouth Makeover

Julie B.

Side-by-side comparison of a woman's face and smile before and after dental work. The 'before' images show her with crooked and uneven teeth, while the 'after' images show straight, even teeth and a more confident smile.

Julie came in with excruciating jaw and neck pain, along with popping and clicking in her joints. Dr. Carpenter treated her with an orthotic and TMD TENsing treatments, which took away all of her pain. Gum contouring and veneers completed her beautiful new smile!​

Learn About Full Mouth Reconstruction

Veneers

Jeff B.

Comparison of a man's facial appearance and teeth before and after dental treatment, showing improved smile and whiter teeth in the after images.

"If I have any regrets it's only that I didn't do this sooner. The process only took two long days at the dentist office to complete the treatment. I went from stained, crooked teeth to low maintenance, bright white teeth. Dental Excellence makes it as convenient and pain-free as possible and treat all customers like family!"  -Jeff B.

Learn About Veneers

Upper Dentures

Sherri B.

Comparison of a woman's face and smile before and after dental improvements. Top row: on the left, woman with brown hair, sunglasses, and a wide smile; on the right, woman with makeup, no sunglasses, and a bright smile. Bottom row: close-up of teeth before and after dental work, showing significant whitening and straightening in the after image.

"I am the world's biggest chicken when it comes to the dentist - I shake as soon as I walk in the door! When I came to Dr. Carpenter, I brought my fears with me. I asked a million questions and he never rushed me and answered them all, putting my fears to rest. When I came in I was a nervous wreck, and they made me feel like I was a friend - not just a patient.  They gave me a big blanket and told me it was going to be okay. I am amazed that my denture looks so close to my natural teeth and I love my new smile and the positive experience Dr. Carpenter and his staff gave me! " -Sherri B.

Listen to Her Story

Veneers & Whitening

Connie M.

Comparison of a woman's face and teeth in before and after dental makeover, showing improvement in smile and teeth alignment.

After a summer of chronic pain and swelling that started with a root canal and ended in a hospital stay, Connie came in for her first visit to our office. Dr. Carpenter discovered exposed bone that had kept her from healing and got her dental health back on track. Connie then decided to address a couple cosmetic issues that had been bothering her for years. With whitening and veneers, she got the smile she had always wanted and looks years younger!

"I felt like there was a lot of concern for me and the staff was very kind and compassionate...I love my new smile!" - Connie

Cosmetic Dental Solutions

Invisalign

Sue D.

Comparison of a woman before and after dental work, showing improved smile with straighter, whiter teeth in the after photos.

As a professional woman, Sue was looking for a way to straighten her teeth without traditional metal braces. Invisalign clear aligners allowed Sue to quickly get the beautiful smile she always wanted!

Learn About Invisalign

Teeth Straightening

Sandy K.

Comparison of a woman's smile before and after dental work, showing improved teeth alignment and appearance.

"My new  smile has given me such self-confidence! I can remember smiling and and putting my hands over my mouth to hide my crooked teeth. Not anymore! My only regret is that I didn't do it sooner. People now tell me how straight and great my teeth look. I must be smiling a lot!" - Sandy

Teeth Straightening Options

Implant Secured Dentures

Robin T.

A side-by-side comparison of a woman before and after dental work. The before photos show her with missing and broken teeth, smiling with her teeth visible. The after photos show her with a full set of healthy, white teeth, smiling confidently.

​Robin came to us wanting upper and lower dentures. We were able to provide her implant-secured dentures. Her smile turned out beautiful, and it took at least 10 years off her age!

Learn About Implants

Dentures

Beverly B.

Comparison of a woman before and after dental treatment: top row features professional headshots, bottom row shows close-up of her teeth before and after dental work.

"I am completely satisfied with the results and the wonderful service I received. I tell everyone they should come here. The dentists and staff are so friendly, kind and caring and make you forget about being afraid to go to the dentist. My dentures are beautiful and I can smile again!"  -Beverly B.​

Learn About Dentures

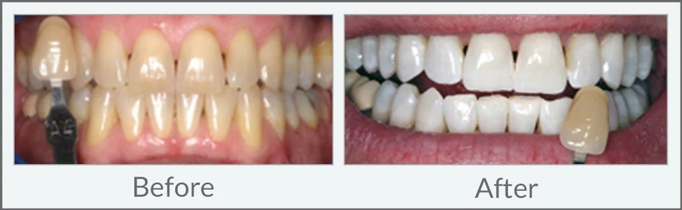
Teeth Whitening

Comparison of teeth before and after dental whitening or veneers. The top left shows discolored teeth with a shade sample, and the bottom left shows the teeth after whitening, looking brighter and more uniform. The top right shows the shade sample on a tooth, and the bottom right displays the teeth after treatment, with a whiter appearance.
Comparison of teeth before and after dental whitening, showing improved color and appearance.
Whitening Options

Video Testimonials

Pain-Free Dentistry - Shirley
"I cannot stand pain!"

Pain-Free Dentistry - Shirley
"I cannot stand pain!"

Pain-Free Dentistry - Shirley
"I cannot stand pain!"

More Video Testimonials